Hypoplastic left heart syndrome: Causes, symptoms and treatment
Hypoplastic left heart syndrome is a rare and extremely complex congenital heart defect. In hypoplastic left heart syndrome, the left side of the heart is severely underdeveloped. Below is the basic information about this disease, SignsSymptomsList would like to send to you to read the article.
content
- 1. Overview of hypoplastic left heart syndrome
- 2. Symptoms
- 3. Causes of hypoplastic left heart syndrome
- 4. What risk factors make the baby susceptible to hypoplastic left heart syndrome?
- 5. Complications
- 6. How to prevent?
- 7. Diagnosis
- 8. How to treat?
- 9. Patient follow-up and care
1. Overview of hypoplastic left heart syndrome

For hypoplastic left heart syndrome, medication can prevent closure of the ductus arteriosus that lies between the left and right heart. Then surgery or a heart transplant will be performed to treat hypoplastic left heart syndrome. With advances in medicine, the outlook for children with hypoplastic left heart syndrome is better than it was in the past.
2. Symptoms
Babies born with the syndrome often become seriously ill soon after birth. Symptoms of this syndrome include:
- Cyanosis
- Breathe fast, breathe hard
- Poor suckling
- Cold hands and feet
- Weak pulse
- Unusual sleepiness or inactivity
If the natural bridge between the left and right heart (foramen ovale and ductus arteriosus) closes in the first few days after birth, the baby with hypoplastic left heart syndrome will go into shock and possibly die. Signs of shock include:
- Skin becomes cold, may be pale or bluish-gray
- Weak and fast pulse
- Irregular breathing, which can be slow and shallow or very fast
- Baby's eyes become dull
A baby in shock may be awake or unconscious. If you suspect your baby is in shock, call 911 or the nearest emergency room number right away.
See more articles on Cardiomyopathy here!
When to see a doctor?
Usually a baby will be diagnosed with hypoplastic left heart syndrome before or shortly after birth. However, you should seek emergency help or take your child to the doctor right away if any of the following symptoms are present:
- Skin color becomes bluish-gray (Cyanosis)
- Breathing fast and hard
- Poor suckling
- Cold hands and feet
- Weak pulse
- Lethargy, unusual sleepiness, or inactivity.
If your baby shows signs of shock, call 911 or your local emergency number right away:
- Skin becomes cold, may be pale or bluish-gray
- Weak and fast pulse
- Irregular breathing, which can be slow and shallow or very fast
- Baby's eyes become dull
3. Causes of hypoplastic left heart syndrome
Hypoplastic left heart syndrome occurs during fetal growth, at the time the baby's heart is forming and developing. The cause of these abnormalities is currently unknown. However, if one child in the family has hypoplastic left heart syndrome, the risk of the same disease in the other baby is increased.
A normal heart will have four chambers, two on the right and two on the left. When it comes to pumping blood around the body, the heart uses its two sides for different functions.
The right side of the heart sends blood to the lungs. In the lungs, oxygen will enter the bloodstream to become oxygen-rich blood, which will then circulate to the left side of the heart. The left side of the heart pumps blood into a large blood vessel, called the aorta. The aorta carries oxygen-rich blood to all organs in the body.
What happens when a patient has hypoplastic left heart syndrome?
In hypoplastic left heart syndrome, the left side of the heart is unable to supply blood to the body. Because the lower chamber of the left heart (left ventricle) is too small or non-existent in some cases. Also, the leaflets of the left side of the heart (aortic and mitral valves) are not functioning properly. Not only that, the main artery leaving the heart (aorta) will be smaller than normal.
During the first few days after birth, the right side of the heart pumps blood to the lungs and to the rest of the body. This is possible thanks to the existence of a blood vessel (the ductus arteriosus) that connects directly between the pulmonary artery and the aorta. Oxygen-rich blood returns to the right side of the heart through a natural opening (foramen ovale) located between the two chambers of the heart (atria). When the foramen ovale and ductus arteriosus are open, it will keep the baby alive.
If the ductus arteriosus and foramen ovale close - which is normal a few days after birth - the right side of the heart has no way to pump blood to the body. Using drugs to keep the bridges open is essential to survival. Thanks to it, it is possible to keep the blood flow to the organs in the body until heart surgery is performed.
4. What risk factors make the baby susceptible to hypoplastic left heart syndrome?
If you've given birth to a baby with hypoplastic left heart syndrome, your next baby has a higher risk of having this or similar condition.
Apart from family history, there are no other obvious risk factors for hypoplastic left heart syndrome.
5. Complications
Without surgery, this condition can be fatal, usually within the first few weeks after birth.
Through treatment, many babies survive, although most will develop complications later in life. Some possible complications include:
- Tired easily when playing sports or doing exercise
- Irregular heart rhythm (Arrhythmia)
- Accumulation of fluid in the lungs, abdomen, legs and feet (edema)
- Limited physical development
- Blood clot formation can lead to pulmonary embolism or stroke
- Developmental problems involving the brain and nervous system
- Need heart surgery or heart transplant
6. How to prevent?
Because it is still unknown what causes this condition, there is no way to prevent it. If you have a family history of congenital heart disease or you have had a baby with congenital heart disease, before becoming pregnant, consider talking with a genetic counselor and a cardiologist about congenital heart disease. born.
See more articles about Heart valve regurgitation here!
7. Diagnosis
Prenatal diagnosis

Babies can be diagnosed with hypoplastic left heart syndrome while in the womb. Your doctor can identify this condition during a routine second-trimester ultrasound of your pregnancy.
Diagnosis after birth

After your baby is born, if your baby's skin is blue or purple or breathing is difficult, the doctor may suspect congenital heart disease, such as hypoplastic left heart syndrome. Doctors will also suspect congenital heart disease if they hear an abnormal murmur on a heart exam – an abnormal sound caused by the turbulent flow of blood.
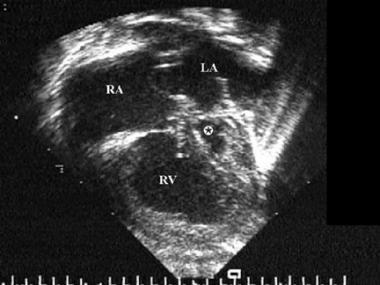
Doctors often use echocardiography to diagnose hypoplastic left heart syndrome. The test uses sound waves to create a moving picture of your baby that can be viewed on a monitor.
If your baby has hypoplastic left heart syndrome, an echocardiogram will show abnormalities. For example, the left ventricle and aorta will be smaller than normal. In addition, echocardiography also showed abnormalities of the heart valves.
Because the test can monitor blood flow, it also shows flow from the right ventricle into the aorta. In addition, echocardiography can identify associated heart defects. The malformation mentioned may be an atrial septal defect.
8. How to treat?
The syndrome is treated through surgery or a heart transplant. Your doctor will talk to you about treatment options for your baby.
If the diagnosis is established prenatally, your doctor will make some recommendations for you. In it, your doctor will recommend that you give birth at a hospital that has a heart surgery center.
Preoperative left heart hypoplasia syndrome
Your doctor will be prepared to help manage your baby's condition before surgery or a heart transplant. They can do so through the following ways:
- Use drugs. Using alprostadil (Prostin VR Pediatric) helps dilate blood vessels and keep the ductus arteriosus open.
- Respiratory support. If your baby is having difficulty breathing, he or she will need help from a ventilator. The device will help ensure an adequate supply of oxygen.
- Intravenous infusion. Your baby may be given fluids through a vein.
- Is placed a feeding tube. If your baby is having trouble feeding, he or she will likely be fed through a tube.
- Interatrial septum. This procedure creates or widens an opening between the two upper chambers (the atria). This will allow more blood to flow from the right atrium to the left atrium if the foramen ovale is closed or too small. If your baby has an atrial septal defect, an atrial septal defect may not be necessary.
Left heart hypoplastic syndrome surgery
Your baby may need several surgeries to treat the condition. Your surgeon will perform a three-stage process. These surgeries are done to help normal blood flow, away from the heart, and to bring oxygen-rich blood to the organs of the body.
Another surgical option is a heart transplant, especially when other heart defects are complex. Children with hypoplastic left heart syndrome may be considered for a heart transplant. After a heart transplant, the baby needs to use it for a long time to avoid rejection of the donor organ.
9. Patient follow-up and care
After surgery or a transplant, your baby needs to be monitored for a long time by a cardiologist who specializes in congenital heart disease. Certain medications may be needed to regulate heart function. Various complications can occur over time and may require further treatment.
Your baby's cardiologist will let you know when your baby needs preventive antibiotics before certain dental or other procedures. Preventive antibiotic use helps prevent infections from occurring. In some cases, they will also recommend that the child limit physical activity.
Monitoring and care for adults

As an adult, you'll be seen by a cardiologist who specializes in adult congenital heart disease. Recently, with advances in surgery, children with hypoplastic left heart syndrome can live to adulthood. Therefore, it is not clear what difficulties an adult may experience with this condition. That's why you need regular care and monitoring to detect any changes related to your condition.
If you are female and are considering becoming pregnant, discuss the risks of pregnancy with your doctor. Pregnancy is generally not recommended for patients with hypoplastic left ventricular syndrome.
However, some women with this syndrome have healthy pregnancies and births. But during pregnancy, these women have a higher risk of heart problems than women without LV hypoplasia. The risk of the baby having this syndrome is also increased if the mother has congenital heart disease.
For hypoplastic left ventricular syndrome , doctors can detect the disease while the baby is in the womb or soon after the baby is born. That's why regular checkups are so important. Screening your baby for problems in advance will provide a treatment plan right after birth. In addition, the doctor will know what to prepare to help the mother round and the baby square.
Dr. NGUYEN VAN HUYAN